◖ ◗
↓
The dark spots of the Moon, when viewed through a telescope, exhibit a totally different character, and show that they belong to a different formation from that of the brighter portions.
These darker tracts do not seem to have had a direct volcanic origin like the latter, but rather appear to have resulted from the solidification of semi-fluid materials, which have overflowed vast areas at different times.
The level and dark appearance of these areas led the ancient astronomers to the
        belief that they were produced by a liquid strongly absorbing the rays of light, and were seas like our seas.
        
        Accordingly, these dark surfaces were called Maria, or Seas, a name which it is convenient to retain, although
        it is well known to have originated in an error. The so-called seas of the Moon are evidently large flat
        surfaces similar to the deserts, steppes, pampas, and prairies of the Earth in general appearance.
      
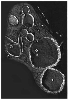
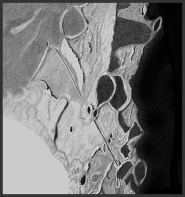
The great plains of the Moon are at a lower level than that of the other formation, and that which first attracts the observer's attention is the fact that they are surrounded almost on all sides by an irregular line of abrupt cliffs and mountain chains, showing phenomena of dislocation.
This character of dislocation, which is general, and is visible everywhere upon the contours of the plains, seems to indicate that phenomena of subsidence, either slow or rapid, have occurred on the Moon; while, at the same time, the sunken surfaces were overflowed by a semi-fluid liquid, which solidified afterwards.
The evidences of subsidence and overflowing become unmistakable when we observe
        that, along the borders of the gray plains, numerous craters are more or less embedded in the gray formation,
        only parts of the summit of their walls remaining visible, to attest that once large craters existed
        there.
        The farther from the border of the plain the vestiges of these craters are
        observed, the deeper they are embedded in the gray formation.
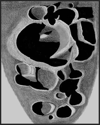
That phenomena of subsidence have occurred on a grand scale on the Moon, is
        further indicated by the fact that the singular systems of fractures called clefts and rifts generally follow
        closely the outside border of the gray plains, often forming parallel lines of dislocation and fractures.
        
In the interior regions of the gray formation, these fractures are comparatively rare.
      
...
 
       
       
       
      .jpg.d970375c95ffd32cc9fc01e4d9eb3156.jpg) 
       
       
       
       
       
       
       
       
       
       
       
       
       
       
       
       
       
       
       
       
       
       
       
       
       
       
       
       
       
       
       
       
       
       
       
       
       
       
       
       
       
       
       
       
       
       
       
       
       
       
       
       
       
       
       
       
       
       
       
       
       
       
       
       
       
       
       
       
       
       
       
       
       
       
       
       
       
       
       
       
       
       
       
       
       
       
       
       
       
       
       
       
       
       
       
       
       
       
       
       
       
       
       
       
       
       
       
       
       
       
       
       
       
       
       
       
       
       
       
       
       
       
       
       
       
       
       
       
       
       
       
       
       
       
       
       
       
       
       
       
       
       
       
       
       
       
       
       
       
       
       
       
       
       
       
       
       
       
       
       
       
       
       
       
       
       
       
       
       
       
       
       
       
       
       
       
       
       
       
       
       
       
       
       
       
       
       
       
       
       
       
       
       
       
       
       
       
       
       
       
       
       
       
       
       
       
       
       
       
       
       
       
       
       
       
       
       
       
       
       
       
       
       
       
       
       
       
       
       
       
       
       
       
       
       
       
       
       
       
       
       
       
       
       
       
       
       
       
       
       
       
       
       
       
       
       
       
       
       
       
       
       
       
       
       
       
       
       
       
       
       
       
       
       
      .thumb.jpg.ff17ad4806baa0264cf822b90d803486.jpg) 
       
       
       
       
       
      .thumb.jpg.372939fcebbfe698bf4ab62fb090502d.jpg) 
       
       
       
       
       
       
       
       
       
       
       
       
       
       
       
       
       
       
       
       
       
       
       
       
       
       
       
       
       
       
       
       
       
       
       
       
       
       
       
       
       
       
       
       
       
       
       
       
       
       
       
       
       
       
       
       
       
       
       
       
       
       
       
       
       
       
       
       
       
       
       
       
       
       
       
       
       
       
       
       
       
       
       
       
       
       
       
       
       
       
       
       
       
       
       
       
       
       
       
       
       
       
       
       
       
       
       
      .thumb.jpg.a94475dbeff256ec7cf08b438bdc2ca3.jpg) 
       
       
       
       
       
       
       
       
       
       
       
       
       
       
       
       
       
       
       
       
       
       
       
      .thumb.jpg.ea5e473d73f755383b5cf09ef001de79.jpg) 
       
       
       
       
       
       
       
       
       
       
       
       
       
       
       
       
       
       
       
       
       
       
       
       
       
       
       
       
       
       
       
       
       
       
       
       
       
       
       
       
       
       
       
       
       
       
       
       
       
       
       
       
       
       
       
       
       
       
       
       
       
       
       
       
       
       
       
       
       
       
       
       
       
       
       
       
       
       
       
       
       
       
       
       
       
       
       
       
       
       
       
       
       
       
       
       
       
       
       
       
       
       
       
       
       
       
       
       
       
       
       
       
       
       
       
       
       
       
       
       
       
       
       
       
       
       
       
       
       
       
       
       
       
       
       
       
       
       
       
       
       
       
       
       
       
       
       
       
       
       
       
       
       
       
       
       
       
       
       
       
       
       
       
       
       
       
       
       
       
       
       
       
       
       
       
       
       
       
       
       
       
       
       
       
       
       
       
      .png.84c392e0868f2d7ea5b13e1e8d7a44e8.png) 
       
       
      .thumb.png.4fd43128f591d2a3dbd677c57455f991.png) 
       
       
       
       
       
       
       
       
       
       
       
       
       
       
       
       
       
       
       
       
       
       
       
       
       
       
       
       
       
       
       
       
       
       
       
       
       
       
      